Have you ever wondered where the expression "long in the tooth" originated? According to legend, nineteenth-century horse sellers were the equivalent of used car salesmen of their time, frequently exaggerating the age of their steed to elicit greater bids. To counteract these questionable sales efforts, a prudent buyer would look into the animal's mouth. If the horse's teeth were long, it signified its gums had receded, implying the horse was likely older than claimed (i.e., "long in the tooth").
Gum recession and its unpleasant symptoms were traditionally assumed to be an unavoidable part of aging, but expert treatments and preventative measures can address the problem. Gum tissue does not regenerate, so while gum recession is irreversible, there are steps you may take to prevent the condition from worsening.
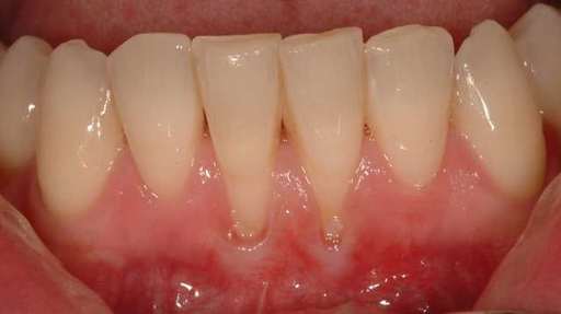
What are receding gums?
Receding gums occur when the gums move away from the teeth, exposing more of the tooth, including the roots. When this happens, gaps appear between the gums and the teeth. Bacteria can accumulate in these spaces, causing periodontal disease and tooth damage. In severe situations, the infection might begin to break down the bone beneath, resulting in tooth loss.
Gum recession occurs gradually, and many people are unaware that their gums are receding until it is too late. Gum recession symptoms include red or swollen gums, foul breath, oral sores, and pain or bleeding during brushing or flossing.
Professional Treatments
Depending on the reason and degree of your gum recession, your dentist may recommend one of the following treatments:
-
Deep Cleaning - A deep cleaning, also called root planing or tooth scaling, can help with minor gum recession. During this procedure, the gums are scraped aside to reveal the roots of the teeth, which are subsequently smoothed. Because bacteria have a harder difficulty adhering to smoother surfaces, this technique helps to protect your teeth and gums from infection. Sometimes an antibiotic gel is administered to the teeth during the cleaning to destroy hard-to-reach germs; other times, oral antibiotics or a specific antibiotic mouth rinse may be prescribed.
-
Surgery - If your gums already have deep pockets or you've lost too much bone, a deep cleaning won't be enough to correct gum recession. In certain cases, surgery may be indicated. Bone regeneration and tissue or gum grafts are two commonly advised techniques for treating receding gums.
-
Bone Regeneration - Regenerative surgery is required if you have lost bone and gum tissue. The procedure is similar to a deep clean and root planing, but instead of folding back the gums and cleaning the afflicted area, a material that encourages your body's natural regeneration of tissue and bone will be applied before the gums are reattached to the roots.
-
Tissue Graft - If too much gum material has been lost, a gum tissue graft may be required to repair the gums. If there is enough tissue available, it can arise from somewhere else in your gums. Alternatively, it can be extracted from the roof of your mouth.
Gum Recession Prevention
Regardless of the reason for gum recession, prophylactic actions should be implemented to protect it from worsening. The following tips will lower your risk of receding gums and improve your overall dental health:
-
Quit Smoking – Tobacco use can increase the number of dangerous germs in your mouth. Quitting smoking will reduce dental decay, gum recession, and other negative consequences of smoking.
-
Maintain Proper Oral Care - Maintaining good oral health requires adequate tooth care. Brushing twice a day, flossing regularly, and using an antimicrobial mouthwash will help to enhance tooth and gum health and prevent further gum recession.
-
Choose Healthy Foods – Crisp fruits and vegetables not only help eliminate plaque but the vitamins and nutrients in a good diet can also inhibit the formation of germs in your mouth. Because bacteria thrive on sweets, limiting sugary foods is an effective method to reduce gum discomfort.
-
Visit the Dentist – Regular dentist appointments (at least every six months) are the most effective strategy to maintain good oral health. Professional cleanings remove plaque and tartar, which can lead to gum disease, and allow your dentist to monitor your gum health for signs of disease.
-
Treat Existing Conditions – Crooked teeth, a misaligned bite, or teeth grinding can raise your risk of gum disease and receding gums. Treating these disorders lowers wear and tear on your gums and teeth, lowering your chance of gum recession.
